Rabbit anti-ACTH Recombinant Monoclonal Antibody(363-60)别名宿主反应种属应用免疫原形式浓度纯化方法类型克隆号储存/保存方法存储溶液背景说明细胞定位UniProt
| 概述 | |
| 别名 |
Adrenocorticotropin; Adrenocorticotropic hormone; Corticotropin
|
| 宿主 |
Rabbit
|
| 反应种属 |
Human, Rat
|
| 应用 |
IHC-P: 1:500-1:2000
|
| 免疫原 |
Synthetic peptide
|
| 性能 | |
| 形式 |
Liquid
|
| 浓度 |
0.5 mg/mL
|
| 纯化方法 |
Protein A affinity column
|
| 类型 |
Monoclonal Antibody
|
| 克隆号 |
363-60
|
| 储存/保存方法 |
Store at -20℃ for one year.
|
| 存储溶液 |
PBS, 40% Glycerol, 0.05% BSA, 0.03% Proclin 300
|
| 靶标 | |
| 背景说明 |
Adrenocorticotropic hormone (ACTH) is a tropic hormone produced by the anterior pituitary. The hypothalamic-pituitary axis controls it. ACTH regulates cortisol and androgen production. Diseases associated with ACTH include Addison disease, Cushing syndrome, and Cushing disease.
|
| 细胞定位 |
Secreted
|
| UniProt |
P01189
|
实验结果图

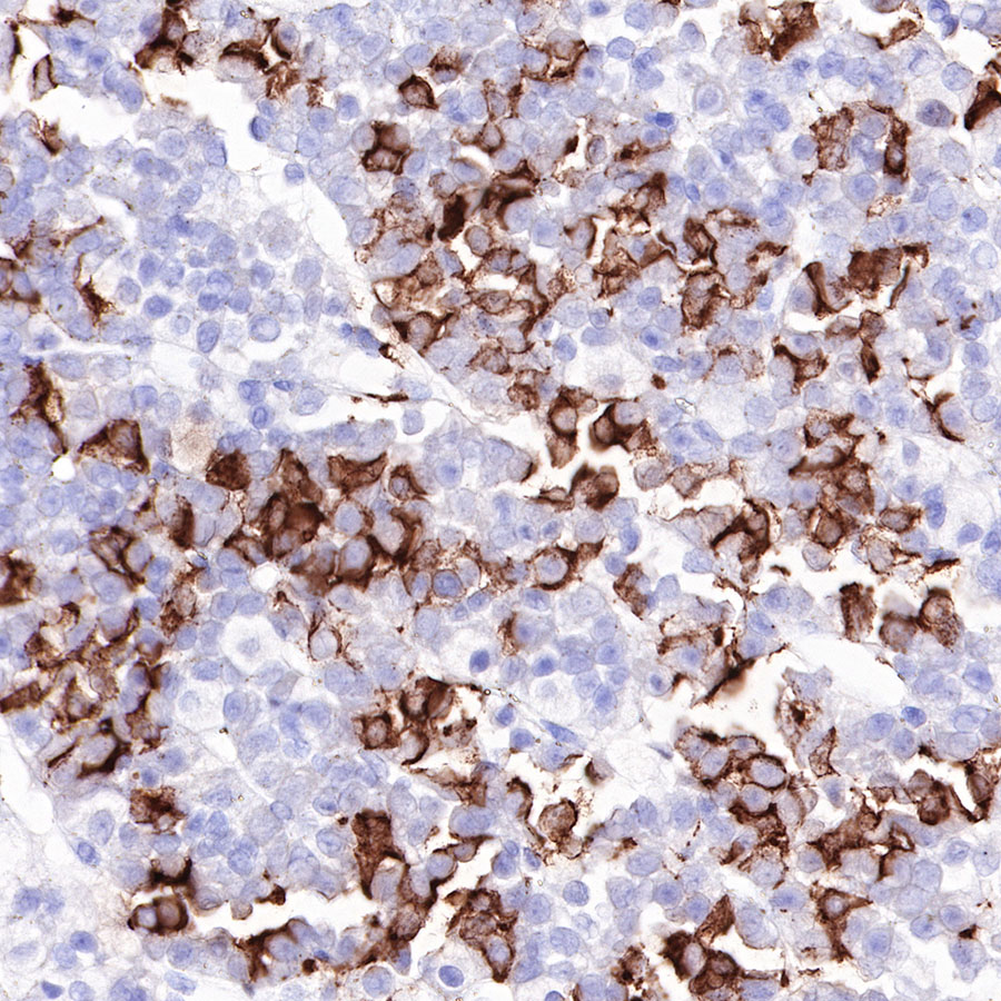
IHC shows positive staining in paraffin-embedded human pituitary. Anti-ACTH antibody was used at 1/2000 dilution, followed by a HRP Polymer for Mouse & Rabbit IgG (ready to use). Counterstained with hematoxylin. Heat mediated antigen retrieval with Tris/EDTA buffer pH9.0 was performed before commencing with IHC staining protocol.

Negative control: IHC shows negative staining in paraffin-embedded human tonsil. Anti-ACTH antibody was used at 1/2000 dilution, followed by a HRP Polymer for Mouse & Rabbit IgG (ready to use). Counterstained with hematoxylin. Heat mediated antigen retrieval with Tris/EDTA buffer pH9.0 was performed before commencing with IHC staining protocol.

IHC shows positive staining in paraffin-embedded rat pituitary. Anti-ACTH antibody was used at 1/500 dilution, followed by a HRP Polymer for Mouse & Rabbit IgG (ready to use). Counterstained with hematoxylin. Heat mediated antigen retrieval with Tris/EDTA buffer pH9.0 was performed before commencing with IHC staining protocol.

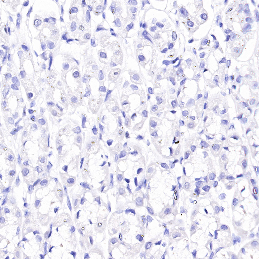
Negative control: IHC shows negative staining in paraffin-embedded rat stomach. Anti-ACTH antibody was used at 1/500 dilution, followed by a HRP Polymer for Mouse & Rabbit IgG (ready to use). Counterstained with hematoxylin. Heat mediated antigen retrieval with Tris/EDTA buffer pH9.0 was performed before commencing with IHC staining protocol.