Rabbit anti-CD39 Recombinant Monoclonal Antibody(236-20)别名宿主反应种属应用免疫原形式浓度纯化方法类型克隆号储存/保存方法存储溶液背景说明细胞定位UniProt
| 概述 | |
| 别名 |
Ectonucleoside triphosphate diphosphohydrolase 1; NTPDase 1; Ecto-ATPDase 1; Lymphoid cell activation antigen
|
| 宿主 |
Rabbit
|
| 反应种属 |
Human
|
| 应用 |
IHC-P: 1:500
|
| 免疫原 |
Recombinant protein
|
| 性能 | |
| 形式 |
Liquid
|
| 浓度 |
0.5 mg/ml
|
| 纯化方法 |
Protein A affinity column
|
| 类型 |
Monoclonal Antibody
|
| 克隆号 |
236-20
|
| 储存/保存方法 |
Store at -20℃ for one year.
|
| 存储溶液 |
PBS, 40% Glycerol, 0.05% BSA, 0.03% Proclin 300
|
| 靶标 | |
| 背景说明 |
CD39 is an ectoenzyme (ecto-nucleotide triphosphate diphosphohydrolase 1, encoded by ENTPD1 gene) belonging to the family of ectonucleotidases which comprises ecto-5′-nucleotidase (NT5E)/CD73, CD38/NADase, NAD glycohydrolases, nucleoside diphosphate kinase, ecto-nucleotide pyrophosphate phosphodiesterases (E-NPPs), ecto nucleoside triphosphate diphosphohydrolases (ENTPDases), and adenylate kinases [PMID: 34360833].
|
| 细胞定位 |
Membrane
|
| UniProt |
P49961
|
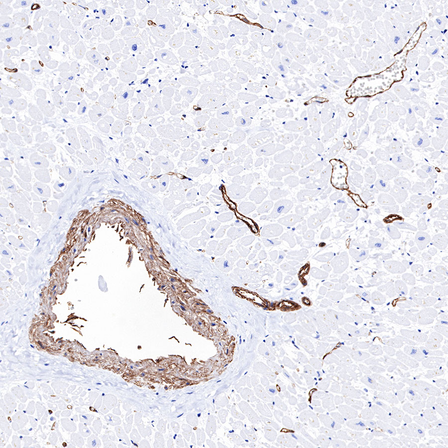
实验结果图

IHC shows positive staining in paraffin-embedded human placenta. Anti-CD39 antibody was used at 1/500 dilution, Secondary antibody: #JP20040. Counterstained with hematoxylin. Heat mediated antigen retrieval with Tris/EDTA buffer pH9.0 was performed before commencing with IHC staining protocol.

IHC shows positive staining in paraffin-embedded human colon. Anti-CD39 antibody was used at 1/500 dilution, Secondary antibody: #JP20040. Counterstained with hematoxylin. Heat mediated antigen retrieval with Tris/EDTA buffer pH9.0 was performed before commencing with IHC staining protocol.

IHC shows positive staining in paraffin-embedded human cardiac muscle. Anti-CD39 antibody was used at 1/500 dilution, Secondary antibody: #JP20040. Counterstained with hematoxylin. Heat mediated antigen retrieval with Tris/EDTA buffer pH9.0 was performed before commencing with IHC staining protocol.

IHC shows positive staining in paraffin-embedded human lung adenocarcinoma. Anti-CD39 antibody was used at 1/500 dilution, Secondary antibody: #JP20040. Counterstained with hematoxylin. Heat mediated antigen retrieval with Tris/EDTA buffer pH9.0 was performed before commencing with IHC staining protocol.

IHC shows positive staining in paraffin-embedded human lung squamous carcinoma. Anti-CD39 antibody was used at 1/500 dilution, Secondary antibody: #JP20040. Counterstained with hematoxylin. Heat mediated antigen retrieval with Tris/EDTA buffer pH9.0 was performed before commencing with IHC staining protocol.