Rabbit anti-PG II/PGC Recombinant Monoclonal Antibody(194-100)别名宿主反应种属应用免疫原形式浓度纯化方法类型克隆号储存/保存方法存储溶液背景说明细胞定位UniProt
| 概述 | |
| 别名 |
Gastricsin; Pepsinogen C
|
| 宿主 |
Rabbit
|
| 反应种属 |
Human, Mouse, Rat
|
| 应用 |
WB: 1:2500, IHC-P: 1:1000
|
| 免疫原 |
Recombinant protein
|
| 性能 | |
| 形式 |
Liquid
|
| 浓度 |
0.25 mg/ml
|
| 纯化方法 |
Protein A affinity column
|
| 类型 |
Monoclonal Antibody
|
| 克隆号 |
194-100
|
| 储存/保存方法 |
Store at -20℃ for one year.
|
| 存储溶液 |
PBS, 40% Glycerol, 0.05% BSA, 0.03% Proclin 300
|
| 靶标 | |
| 背景说明 |
Pepsinogen (PG) is the precursor of pepsin and is composed of five hypotypes: pepsinogen A (PGA), pepsinogen B (PGB), pepsinogen C (PGC), pepsinogen F (PGF) and chymosinogen [PMID: 28546787]. Pepsinogen C, also known as progastricsin or PG II, is an aspartic protease expressed primarily in gastric chief cells [PMID: 14578117].
|
| 细胞定位 |
Secreted
|
| UniProt |
P20142
|
实验结果图

WB result of PG II/PGC Rabbit mAb Primary antibody: PG II/PGC Rabbit mAb at 1/2500 dilution Lane 1: mouse liver lysate 20 µg Lane 2: mouse stomach lysate 20 µg Negative control: mouse liver lysate Secondary antibody: #JP20040 at 1/10000 dilution Predicted MW: 42 kDa Observed MW: 38 kDa Exposure time: 20s

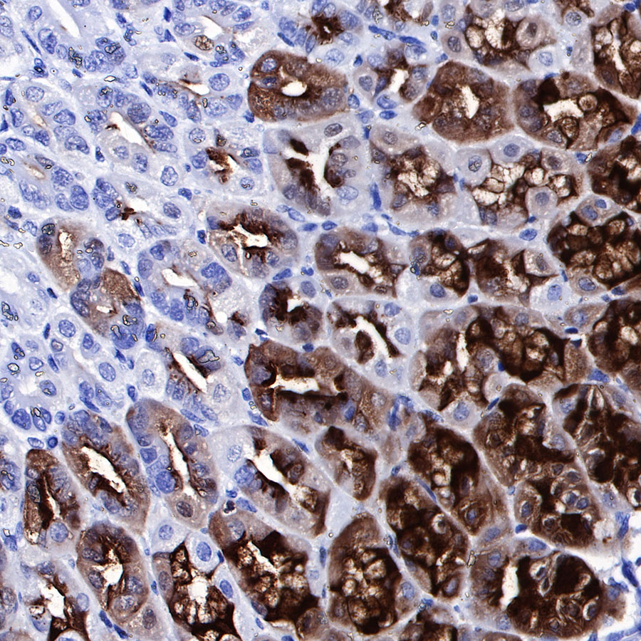
IHC shows positive staining in paraffin-embedded human stomach. Anti-PG II/PGC antibody was used at 1/1000 dilution, Secondary antibody: #JP20040. Counterstained with hematoxylin. Heat mediated antigen retrieval with Tris/EDTA buffer pH9.0 was performed before commencing with IHC staining protocol.

Negative control: IHC shows negative staining in paraffin-embedded human liver. Anti-PG II/PGC antibody was used at 1/1000 dilution, Secondary antibody: #JP20040. Counterstained with hematoxylin. Heat mediated antigen retrieval with Tris/EDTA buffer pH9.0 was performed before commencing with IHC staining protocol.

IHC shows positive staining in paraffin-embedded mouse stomach. Anti-PG II/PGC antibody was used at 1/1000 dilution, Secondary antibody: #JP20040. Counterstained with hematoxylin. Heat mediated antigen retrieval with Tris/EDTA buffer pH9.0 was performed before commencing with IHC staining protocol.

Negative control: IHC shows negative staining in paraffin-embedded mouse liver. Anti-PG II/PGC antibody was used at 1/1000 dilution, Secondary antibody: #JP20040. Counterstained with hematoxylin. Heat mediated antigen retrieval with Tris/EDTA buffer pH9.0 was performed before commencing with IHC staining protocol.

IHC shows positive staining in paraffin-embedded rat stomach. Anti-PG II/PGC antibody was used at 1/1000 dilution, Secondary antibody: #JP20040. Counterstained with hematoxylin. Heat mediated antigen retrieval with Tris/EDTA buffer pH9.0 was performed before commencing with IHC staining protocol.