Rabbit anti-SOX-10 Recombinant Monoclonal Antibody(136-59)宿主反应种属应用分子量免疫原形式浓度纯化方法类型克隆号储存/保存方法存储溶液背景说明细胞定位UniProt
| 概述 | |
| 宿主 |
Rabbit
|
| 反应种属 |
Human, Mouse, Rat
|
| 应用 |
WB: 1:500, IHC-P: 1:1000
|
| 分子量 |
62kDa
|
| 免疫原 |
Synthetic peptide
|
| 性能 | |
| 形式 |
liquid
|
| 浓度 |
0.25 mg/ml
|
| 纯化方法 |
Protein A affinity column
|
| 类型 |
Monoclonal antibody
|
| 克隆号 |
136-59
|
| 储存/保存方法 |
Store at -20℃ for one year.
|
| 存储溶液 |
PBS, 40% Glycerol, 0.05% BSA, 0.03% Proclin 300
|
| 靶标 | |
| 背景说明 |
Transcription factor SOX-10 is a protein that in humans is encoded by the SOX10 gene. This gene encodes a member of the SOX (SRY-related HMG-box) family of transcription factors involved in the regulation of embryonic development and determination of cell fate. The encoded protein acts as a transcriptional activator after forming a protein complex with other proteins. This protein acts as a nucleocytoplasmic shuttle protein and is important for neural crest and peripheral nervous system development.
|
| 细胞定位 |
Nucleus,Cytoplasm
|
| UniProt |
P56693
|
实验结果图

WB result of SOX-10 Rabbit mAb Primary antibody: SOX10 Rabbit mAb at 1/500 dilution Lane 1: Hela whole cell lysate 20 µg Lane 2: A375 whole cell lysate 20 µg Negative control: Hela whole cell lysate Secondary antibody: #JP20040 at 1/10000 dilution Predicted MW: 62 kDa Observed MW: 55~70 kDa Exposure time: 12s

WB result of SOX-10 Rabbit mAb Primary antibody: SOX10 Rabbit mAb at 1/500 dilution Lane 1: C6 whole cell lysate 20 µg Secondary antibody: #JP20040 at 1/10000 dilution Predicted MW: 62 kDa Observed MW: 55~70 kDa Exposure time: 12s

IHC shows positive staining in paraffin-embedded human melanoma. Anti-SOX-10 antibody was used at 1/1000 dilution, Secondary antibody: #JP20040. Counterstained with hematoxylin. Heat mediated antigen retrieval with Tris/EDTA buffer pH9.0 was performed before commencing with IHC staining protocol.

IHC shows positive staining in paraffin-embedded human cerebral cortex. Anti-SOX-10 antibody was used at 1/1000 dilution, Secondary antibody: #JP20040. Counterstained with hematoxylin. Heat mediated antigen retrieval with Tris/EDTA buffer pH9.0 was performed before commencing with IHC staining protocol.

Negative control: IHC shows negative staining in paraffin-embedded human liver. Anti-SOX-10 antibody was used at 1/1000 dilution, Secondary antibody: #JP20040. Counterstained with hematoxylin. Heat mediated antigen retrieval with Tris/EDTA buffer pH9.0 was performed before commencing with IHC staining protocol.

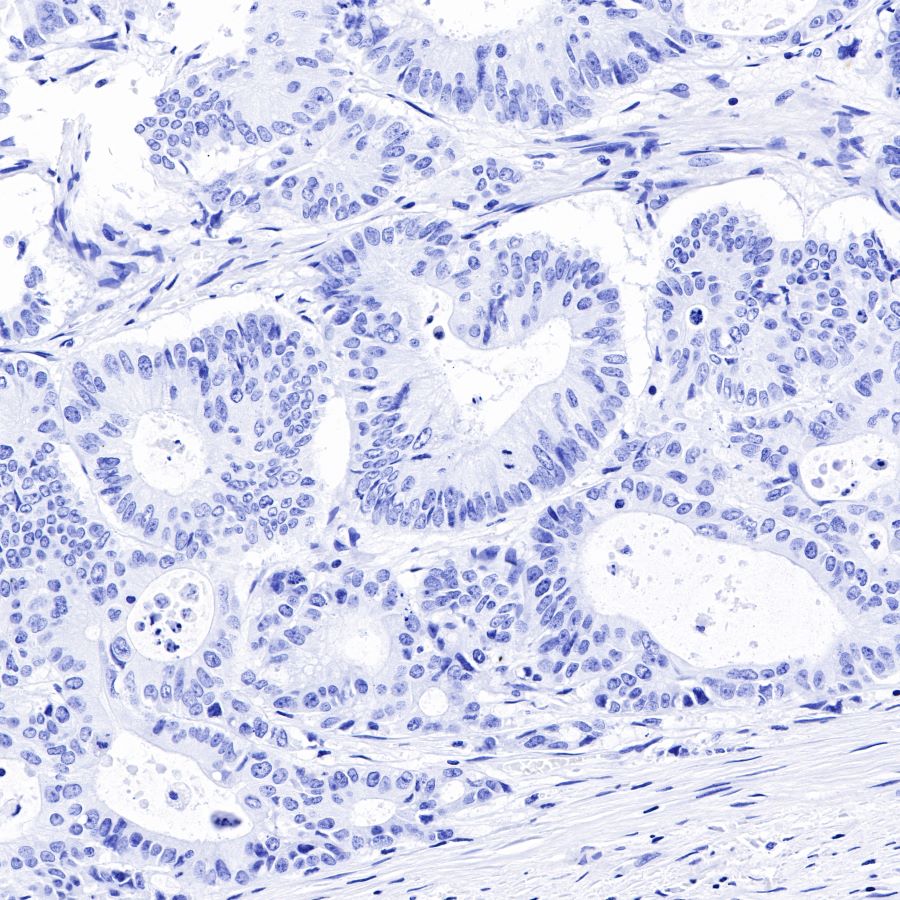
Negative control: IHC shows negative staining in paraffin-embedded human colon cancer. Anti-SOX-10 antibody was used at 1/1000 dilution, Secondary antibody: #JP20040. Counterstained with hematoxylin. Heat mediated antigen retrieval with Tris/EDTA buffer pH9.0 was performed before commencing with IHC staining protocol.

IHC shows positive staining in paraffin-embedded mouse cerebral cortex. Anti-SOX-10 antibody was used at 1/1000 dilution, Secondary antibody: #JP20040. Counterstained with hematoxylin. Heat mediated antigen retrieval with Tris/EDTA buffer pH9.0 was performed before commencing with IHC staining protocol.

IHC shows positive staining in paraffin-embedded rat cerebral cortex. Anti-SOX-10 antibody was used at 1/1000 dilution, Secondary antibody: #JP20040. Counterstained with hematoxylin. Heat mediated antigen retrieval with Tris/EDTA buffer pH9.0 was performed before commencing with IHC staining protocol.