Rabbit anti-CDX2 Recombinant Monoclonal Antibody(134-76)别名宿主反应种属应用分子量免疫原形式浓度纯化方法类型克隆号储存/保存方法存储溶液背景说明细胞定位UniProt
| 概述 | |
| 别名 |
CDX-3; Caudal-type homeobox protein 2
|
| 宿主 |
Rabbit
|
| 反应种属 |
Human, Mouse, Rat
|
| 应用 |
WB: 1: 1000, IHC-P: 1:500, ICC: 1:200
|
| 分子量 |
38kDa
|
| 免疫原 |
Synthetic peptide
|
| 性能 | |
| 形式 |
liquid
|
| 浓度 |
0.5 mg/ml
|
| 纯化方法 |
Protein A affinity column
|
| 类型 |
Monoclonal antibody
|
| 克隆号 |
134-76
|
| 储存/保存方法 |
Store at -20℃ for one year.
|
| 存储溶液 |
PBS, 40% Glycerol, 0.05% BSA, 0.03% Proclin 300
|
| 靶标 | |
| 背景说明 |
Homeobox protein CDX-2 is a protein that in humans is encoded by the CDX2 gene. The CDX2 protein is a homeobox transcription factor expressed in the nuclei of intestinal epithelial cells, playing an essential role in the development and function of the digestive system. CDX2 is also used in diagnostic surgical pathology as a marker for gastrointestinal differentiation, especially colorectal.
|
| 细胞定位 |
Nucleus
|
| UniProt |
Q99626
|
实验结果图

WB result of CDX2 Rabbit mAb Primary antibody:CDX2 Rabbit mAb at 1/1000 dilution Lane 1: Hela whole cell lysate 20 µg Lane 2: Caco2 whole cell lysate 20 µg Negative control: Hela whole cell lysate Secondary antibody: #JP20040 at 1/10000 dilution Predicted MW: 38 kDa Observed MW: 38 kDa Exposure time: 60s

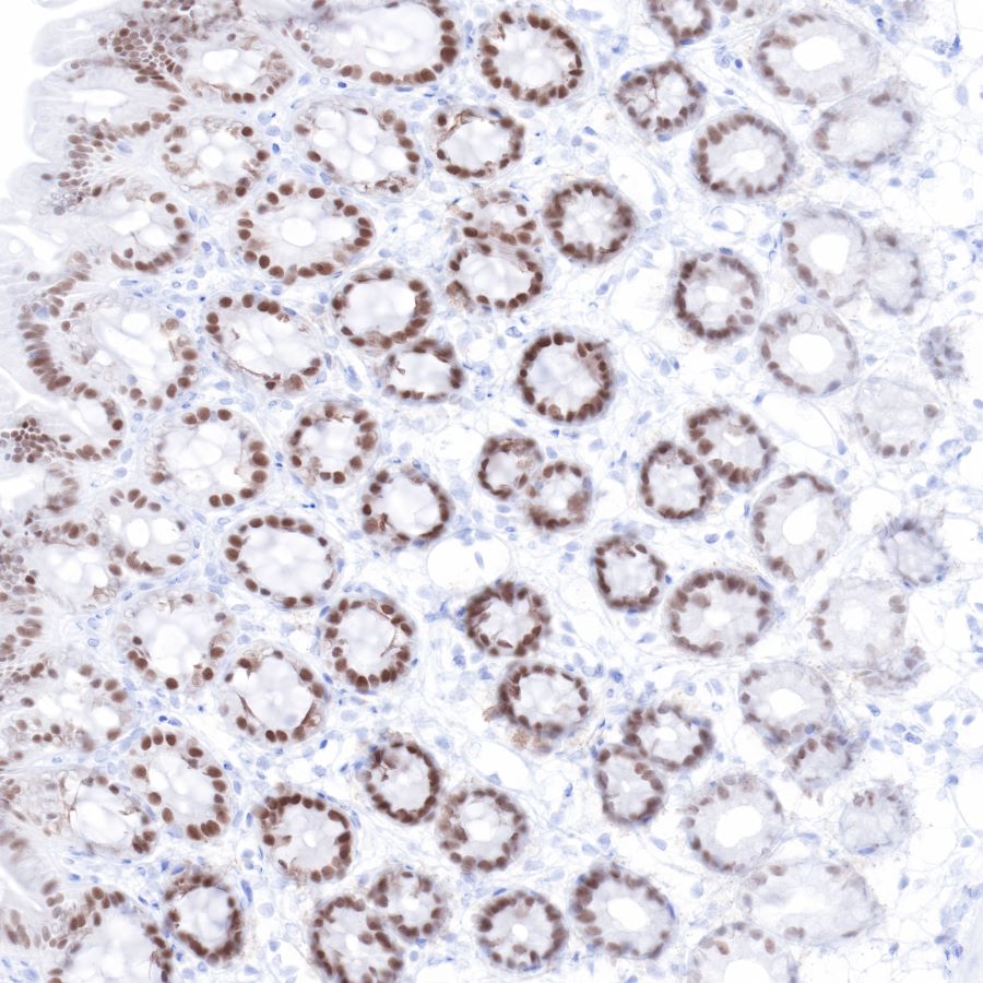
IHC shows positive staining in paraffin-embedded human colon. Anti-CDX2 antibody was used at 1/500 dilution, Secondary antibody: #JP20040. Counterstained with hematoxylin. Heat mediated antigen retrieval with Tris/EDTA buffer pH9.0 was performed before commencing with IHC staining protocol.

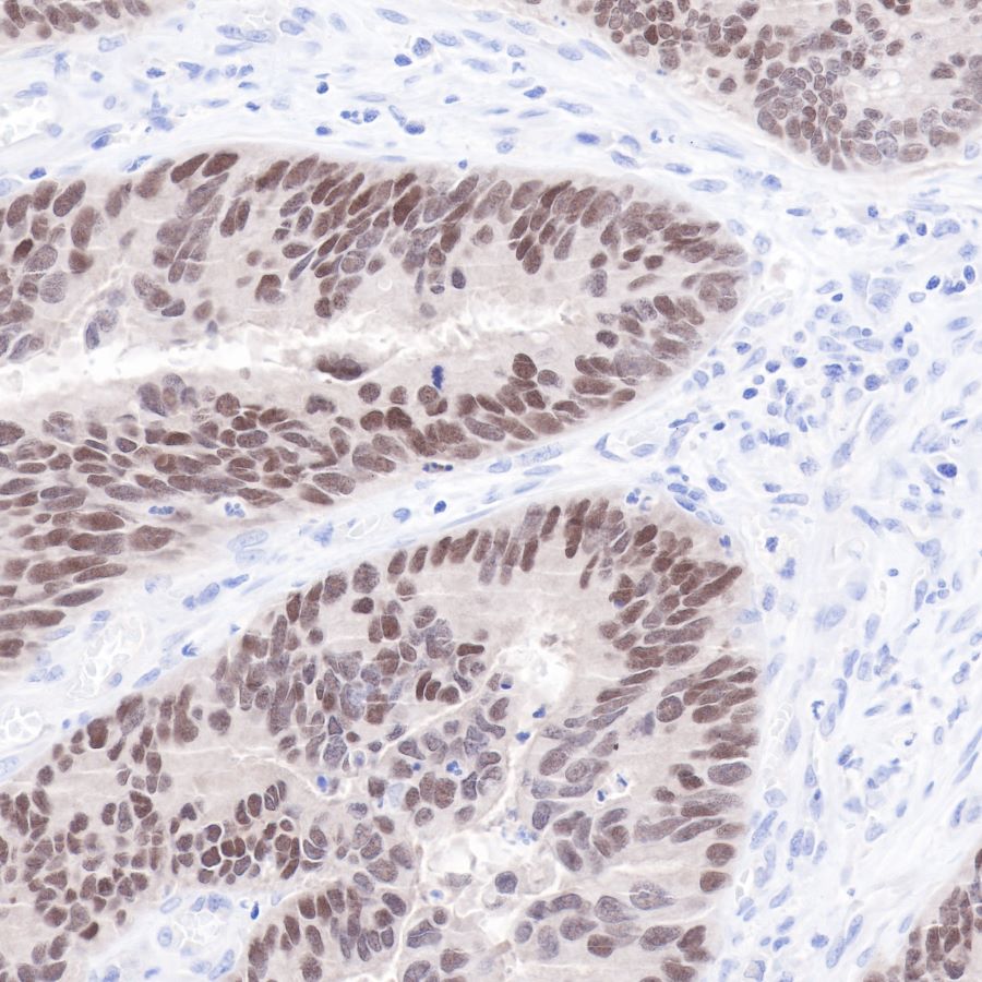
IHC shows positive staining in paraffin-embedded human colon cancer. Anti-CDX2 antibody was used at 1/500 dilution, Secondary antibody: #JP20040. Counterstained with hematoxylin. Heat mediated antigen retrieval with Tris/EDTA buffer pH9.0 was performed before commencing with IHC staining protocol.

IHC shows positive staining in paraffin-embedded human colon cancer. Anti-CDX2 antibody was used at 1/500 dilution, Secondary antibody: #JP20040. Counterstained with hematoxylin. Heat mediated antigen retrieval with Tris/EDTA buffer pH9.0 was performed before commencing with IHC staining protocol.

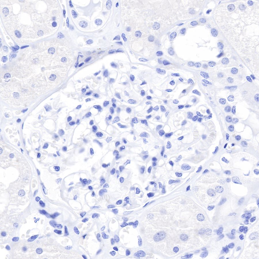
IHC shows negative staining in paraffin-embedded human kidney. Anti-CDX2 antibody was used at 1/500 dilution, Secondary antibody: #JP20040. Counterstained with hematoxylin. Heat mediated antigen retrieval with Tris/EDTA buffer pH9.0 was performed before commencing with IHC staining protocol.

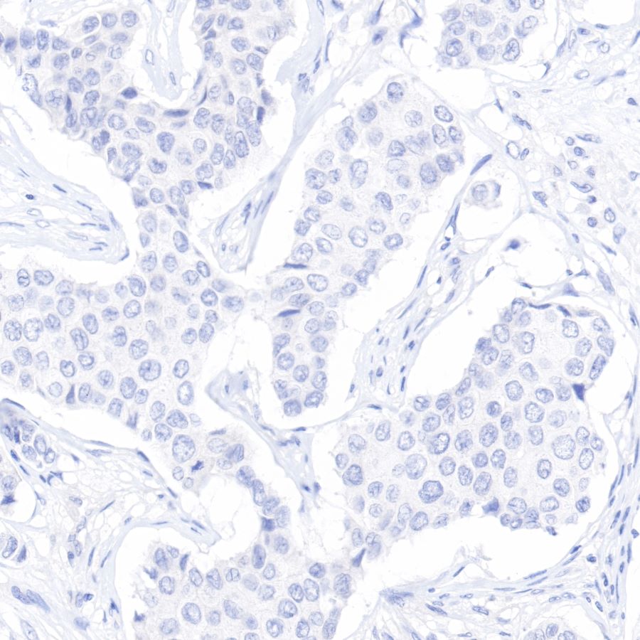
IHC shows negative staining in paraffin-embedded human breast cancer. Anti-CDX2 antibody was used at 1/500 dilution, Secondary antibody: #JP20040. Counterstained with hematoxylin. Heat mediated antigen retrieval with Tris/EDTA buffer pH9.0 was performed before commencing with IHC staining protocol.

IHC shows positive staining in paraffin-embedded mouse colon. Anti-CDX2 antibody was used at 1/500 dilution, Secondary antibody: #JP20040. Counterstained with hematoxylin. Heat mediated antigen retrieval with Tris/EDTA buffer pH9.0 was performed before commencing with IHC staining protocol.

IHC shows positive staining in paraffin-embedded rat colon. Anti-CDX2 antibody was used at 1/500 dilution, Secondary antibody: #JP20040. Counterstained with hematoxylin. Heat mediated antigen retrieval with Tris/EDTA buffer pH9.0 was performed before commencing with IHC staining protocol.

ICC shows positive nuclear staining in SW480 cells. Anti-CDX2 antibody was used at 1/200 dilution and incubated overnight at 4°C. Goat polyclonal Antibody to Rabbit IgG – H&L (Alexa Fluor® 488) was used as secondary antibody at 1/1000 dilution.The cells were fixed with 4% PFA and permeabilized with 0.1% PBS-Triton X-100. Nuclei were countersained with DAPI.

ICC shows positive nuclear staining in HCT-116 cells (Low expression). Anti-CDX2 antibody was used at 1/200 dilution and incubated overnight at 4°C. Goat polyclonal Antibody to Rabbit IgG – H&L (Alexa Fluor® 488) was used as secondary antibody at 1/1000 dilution.The cells were fixed with 4% PFA and permeabilized with 0.1% PBS-Triton X-100. Nuclei were countersained with DAPI.

Negative control: ICC shows negative staining in HeLa cells. Anti-CDX2 antibody was used at 1/200 dilution and incubated overnight at 4°C. Goat polyclonal Antibody to Rabbit IgG – H&L (Alexa Fluor® 488) was used as secondary antibody at 1/1000 dilution.The cells were fixed with 4% PFA and permeabilized with 0.1% PBS-Triton X-100. Nuclei were countersained with DAPI.