Mem-PER真核细胞膜蛋白抽提试剂盒(Eukaryotic Membrane Protein Extraction) PIERCE 89826
| Mem-PER真核细胞膜蛋白抽提试剂盒(Eukaryotic Membrane Protein Extraction) PIERCE 89826 | |||
| Mem-PER(R), Eukaryotic Membrane Protein Extraction | |||
| 产品编号: | 89826 | CAS号: | |
| 分子式: | 分子量: | ||
| EINECS编号: | |||
Mem-PER真核细胞膜蛋白抽提试剂盒
不需要梯度密度离心或者超速离心。
传统分离膜蛋白的方法繁琐而耗时,并且都需要梯度分离和昂贵的超高速离心仪器。而Thermo Scientific Mem-PER真核细胞膜蛋白抽提试剂盒是一种快速、简单、便宜的膜蛋白分离方法。使用该试剂盒的三种试剂可以从培养的哺乳动物、酵母细胞以及软或硬的哺乳动物组织中抽提并选择性地富集膜蛋白。
产品特点:
- 最大程度的降低了亲脂(膜)蛋白组份中参杂的亲水性蛋白的交叉污染(一般< 10%)。
- 适用于多种培养的哺乳动物细胞、酵母细胞以及哺乳动物组织。
- 与SDS-PAGE、蛋白免疫印迹, 蛋白定量分析等下游应用完全兼容(详见相关产品)。
- 提供简单完整的方法,使用该方法可以在大约1小时以内从哺乳动物细胞、组织以及酵母细胞中分离膜蛋白。
- 仅需台式微量离心机和离心管。

使用Thermo Scientific Mem-PER 真核细胞膜蛋白抽提试剂盒来溶解和分离酵母膜内蛋白(酿酒酵母菌株EGY-194)。向湿重大10-15mg的细胞沉淀中加入80μlMem-PER 试剂 A和100-150mg、尺寸为405-600μm的酸洗玻璃珠并在室温涡旋10分钟来破裂酵母细胞的细胞壁。短暂离心收集玻璃珠,然后将细胞裂解物转移到新的离心管中并将离心管置于冰上。用720 μl Mem-PER试剂B和C洗涤收集的玻璃珠然后将洗涤液加入到细胞裂解液中并在冰上孵育30分钟。样本进行4-12%Bis-Tris凝胶电泳。

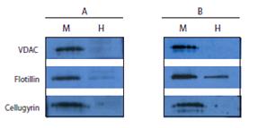
分别对从大鼠肝(图A)和大鼠心(图B)制备的膜蛋白进行蛋白免疫印迹。利用蛋白免疫印迹对通过Mem-PER 试剂制备的疏水(膜蛋白)成分和相应的亲水成分进行分析,分别对VDAC (31 kDa, Affinity BioRegeants),cellugyrin (29 kDa, BDTransduction Laboratories)及flotillin-1 (48 kDa, BD Transduction Laboratories)进行免疫印迹分析。M = 膜蛋白组份,H =亲水组份。

对Thermo Scientific Mem-PER 试剂溶解的蛋白进行分级。使用Mem-PER真核细胞膜蛋白抽提试剂盒对三种细胞系的蛋白进行溶解和抽提。每组疏水(膜蛋白)和亲水组分均通过标准操作获得,利用蛋白质免疫印迹分析四种细胞定位已知的蛋白。利用SDS-PAGE/蛋白质免疫印记分析对COX4进行分析之前,使用SDS-PAGE样品制备试剂盒去除膜组分中的去垢剂。所有碎片组分中检测到的蛋白污染量极低。缩写: AchE = 乙酰胆碱酯酶, COX4 =细胞色素氧化酶4亚基,hsp90 =热休克蛋白90, M = 可溶性膜蛋白组分,H = 亲水性蛋白组分。
参考文献
Chattopadhyay, K., et al. (2006).J. Immunol. 177, 3920-3929
Fujii, N., et al. (2007).Cancer Res. 67, 573-579.
Nurnberger, J., et al. (2002). Mol. Biol. Cell.13, 3096-3106.
Stephano, G.B., et al. (2003). Endocrinology144(4), 1234-1240.
Tu, C-L., et al. (2008).J. Biol. Chem.283,3519-3528.Wojnar, P., et al.
(2003). J. Biol. Chem.278(18), 16209-16215.
订购信息:
|
产品货号
|
产品描述
|
包装
|
价格¥
|
|
89826
|
Mem-PER真核细胞膜蛋白抽提试剂盒
包括:Mem-PER细胞裂解试剂
Mem-PER缓冲液
Mem-PER膜蛋白增溶试剂
|
试剂盒
10ml
25ml
40ml
|
–
|
相关产品:
|
产品货号
|
产品描述
|
价格¥
|
|
89864
|
膜蛋白2D样品制备试剂盒
|
询价
|
|
89888
|
SDS-PAGE样品制备试剂盒
|
–
|
|
69580
|
Slide-A-Lyzer
|
–
|