瑞氏染色剂G1040

瑞氏染色剂G1040

产品名称:瑞氏染色剂

产品型号:G1040

产品特点:瑞氏染色剂
货号 :G1040
规格 :50ml/100ml
保存 :室温避光保存,有效期少2年。
产品说明 :
瑞氏染料是由碱性染料美蓝(Methvlem blue)和酸性染料伊红(Eostm Y)组成的复合染料,溶于甲醇 。

G1040瑞氏染色剂的详细资料:

瑞氏染色剂

货号 :G1040
规格 :50ml/100ml
保存 :室温避光保存,有效期少2年。

瑞氏染色剂产品说明 :
瑞氏染料是由碱性染料美蓝(Methvlem blue)和酸性染料伊红(Eostm Y)组成的复合染料,溶于甲醇 。伊红通常为钠盐,有色部分为阴离子。美蓝通常为氯盐,有色部分为阳离子。甲醇的作用:一是溶解美蓝和伊红,使其解离为有色美蓝正离子的和伊红负离子。后两者可以选择性地吸附于血细胞内的不同成分而使其着色;二是固定细胞形态,加速染色反应,增强染色效果。

使用方法 :
本产品可作为多种组织或细胞的染色使用,不同组织、细胞,不同的用途可以有不同的使用方法。具体方法请根据自己需求参考既有文献,本产品以涂片为例,举例说明,仅供参考。
1、取涂片、自然干燥。
2、滴加瑞氏染液染 3 分钟,使标本被其中甲醇所固定。
3、加等量 PH6.4 的磷酸盐缓冲液(或等量超纯水)轻轻晃动玻片, 与瑞氏染色液混匀,静置 5 分钟。
4、水洗、吸干、镜检。
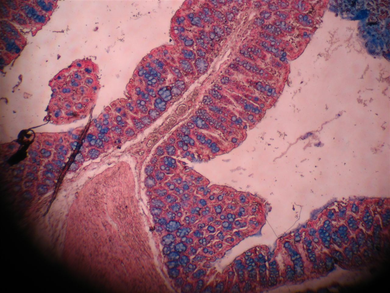
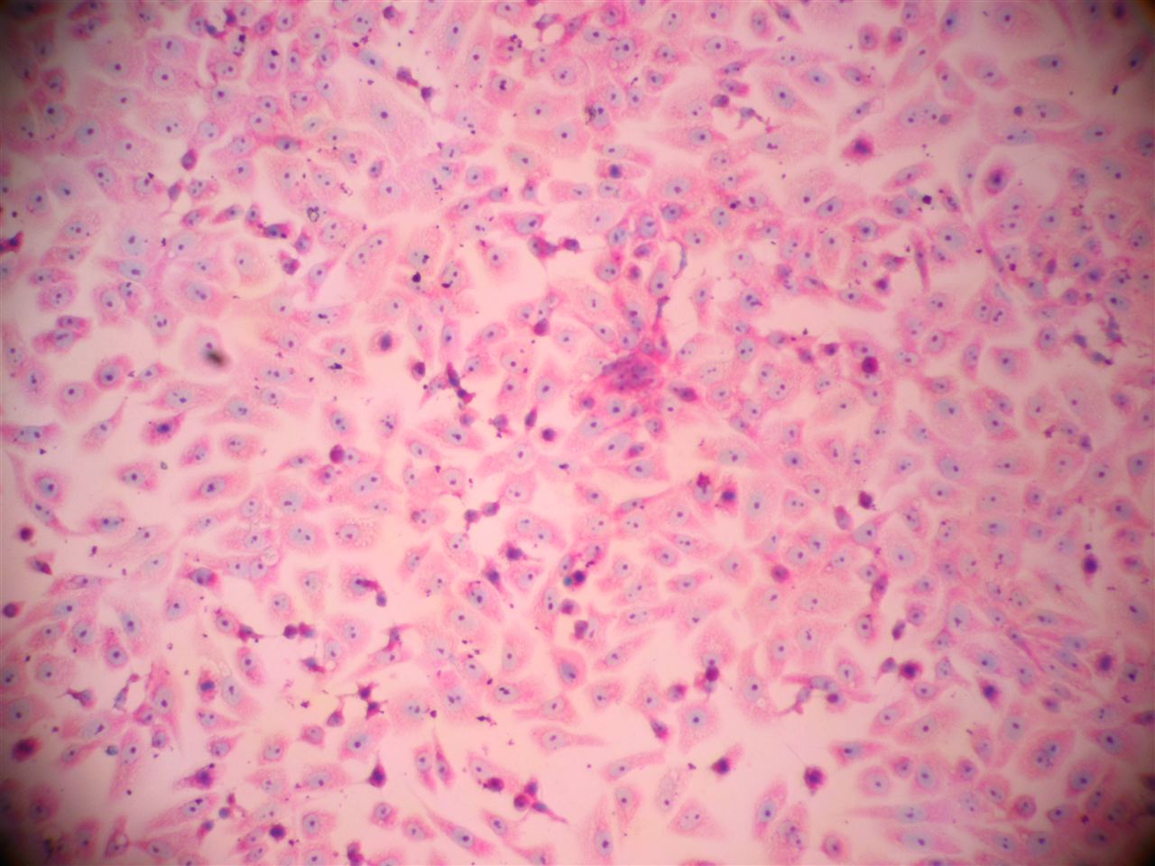
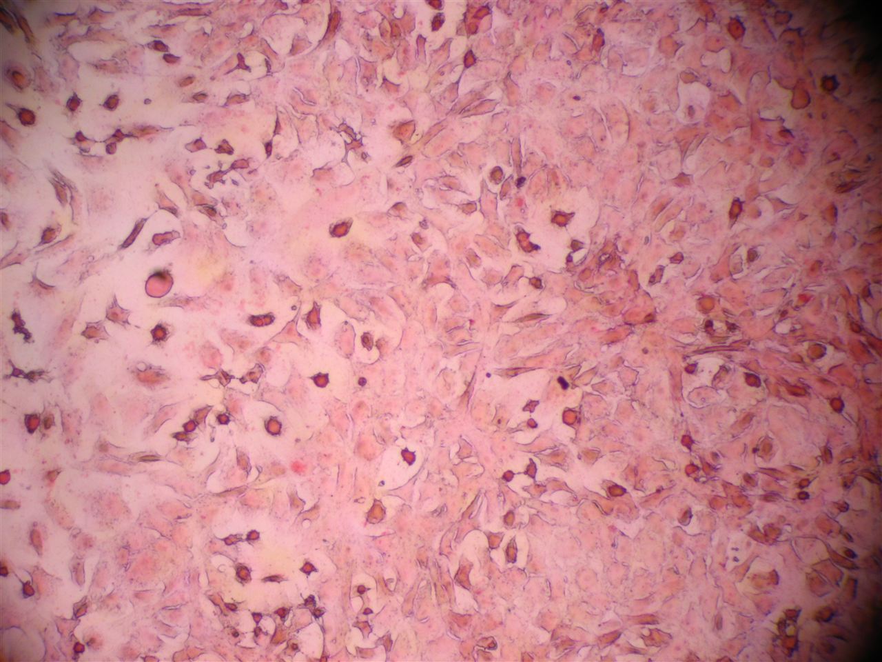
5、细菌染成蓝色,组织细胞胞浆红色,细胞核蓝色。

注意事项 :
1、 涂片厚薄适宜,涂片干透后固定,否则细胞在染色过程中容易脱落。
2、 所加染液不能过少,以免蒸发而使染料沉淀。冲洗时间不能过久,以防脱色。
3、 染色对 pH 十分敏感,稀释染液必须用缓冲液,冲洗用水应接近中性,否则可能会导致细胞染色异常,形态难以识别,甚错误。
4、 染色过淡可以复染,复染时应先加缓冲液,然后加染液。染色过深可用流水冲洗或浸泡,也可用甲醇脱色。

染色结果展示:

瑞氏染色剂G1040瑞氏染色剂G1040瑞氏染色剂G1040瑞氏染色剂G1040瑞氏染色剂G1040瑞氏染色剂G1040瑞氏染色剂G1040

相关产品 :
P2100 10× 多聚赖氨酸
G1010 姬姆萨染色液
G1100  伊红染色液
G1140  苏木素染色液 ( 常规染色 )
G1120 H-E 染色试剂盒

产品订购说明:
1、绝大部分产品备有现货,一般情况下都能订货当日发货。 
2、部分非常用产品,需提前1-2日预订,海外期货则需要提前3-6周预订。 
3、部分产品价格会因货期、批次等因素发生变化,若有变动以订货当日新价格为准。 
4、每日订单截止时间为16点整,部分城市可到17点整,因超过截止时间造成当日不能发货的将于次日安排发货。
5、请办理完货款后,将收据、底单等连同收货人的地址、姓名、等以传真、、短信、等形式通知我们。