Stemgent RNA™ -NM重编程试剂盒
StemRNA™ -NM Reprogramming Kit
Stemgent RNA™ -NM重编程试剂盒
- 产品特性
- 相关资料
- Q&A
- 参考文献
Stemgent RNA™-NM重编程试剂盒
可用于成纤维细胞、血液和尿液的细胞重编程的非修饰RNA试剂盒
|
Stemgent在RNA重组领域的最新研究进展中结合非修饰RNA与microRNA技术,为干细胞研究者提供了具有多功能性、简便且省时的新型试剂盒,该试剂盒使人类成纤维细胞以及患者血液、尿液体外细胞重编程成为可能。 |
StemRNA-NM 重编程试剂盒 |
◆优点
● 运用灵活技术将多种靶细胞类型产生高质量的人iPS细胞系
● 即开即用。可用于来自皮肤(成纤维细胞),血液(内皮祖细胞; EPCs)和尿液(尿源性上皮细胞; UDCs)
● 细胞的重编程。
● 高效率,非整合重编程
● StemRNA-NM需要几个或四个其他试剂。双链microRNA提高重编程效率,高效提供iPS细胞(成纤维细胞
● 高达4%,内皮祖细胞高达3%,尿源性上皮细胞高达0.5%)
● 省时,结果获取快,促进更高的生产量
● 挑选来自成纤维细胞的细胞系需要10-14天,而来自内皮祖细胞或尿源性上皮细胞的细胞系需要12-16天。无
● 需筛选,节省额外运用其他技术清除载体的2-10周(3-10代)。
|
特点 |
StemRNA-NM (00-0076) |
||
|
成纤维细胞 |
尿液 (UDCs) |
血液(EPCs) |
|
|
每个试剂盒的孔数 |
9 |
3 |
3 |
|
无需转染 |
4 |
6-8 |
6-8 |
|
培养初级iPS细胞系所需天数 |
10-14 |
12-14 |
12-14 |
|
重编程效率 |
2-+4% |
0.1-0.5% |
0.4-3% |
|
筛选 |
否 |
否 |
否 |
|
异种兼容步骤 |
是 |
否 |
否 |
|
兼容GMP的RNA制作步骤 |
是 |
是 |
是 |
![]() |
![]() |
|
在NutriStem TM XF / FF培养基(01-0005)中 扩增后,使用StainAlive TM TRA-1-60抗体(09-0068) 和DAPI对UDCs的P7原代iPS细胞染色 |
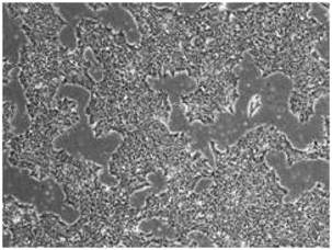
使用StemRNA-NM重编程试剂盒在 NutriStem TM XF / FF培养基(01-0005)中 的iMatrix-511(NP892-011)上培养成 纤维细胞衍生的iPS细胞7代。放大倍数:4x |

StemRNA-NM的成纤维细胞重编程日程
◆产品说明
| 规格 | 1 kit |
| 试剂盒内容 |
OKSMNL NM-RNA(编号05-0040),30µg, 1 瓶 EKB NM-RNA(编号05-0041),22µg, 1瓶 NM-microRNAs(编号05-0042),15µg, 1瓶 |
| 储存与稳定性 |
试剂盒三个组件均储存在-70°C以下。 自到货日期算起,试剂盒至少在三个月内是有效的。 |
|
质量控制 |
测试单个mRNA的大小与完整性。StemRNA™-SR重编程试剂盒成功进行了 成人成纤维细胞和人脐静脉内皮细胞RNA基础重编程功能验证。 iPS细胞系完全重编程可通过多能性标记物的表达及合适的形态来确认。 试剂盒所有组件均无菌,支原体检测呈阴性。 |
| 使用许可 |
该产品使用Biontech AG独家许可技术,如WO 2009/088134中所述。 该产品也可由来自Biontech AG的WO 2007/036366,WO 2007/036366, WO 2007/036366和WO 2007/036366中的一个或多个所涵盖。 |
| 推荐用途 | 根据StemRNA-NM相关步骤生产iPS细胞 |
◆产品列表
| 产品编号 | 产品名称 | 包装 |
| 00-0076 | StemRNA™-NM Reprogramming Kit StemgentRNA™-NM重编程试剂盒 |
1 kit |
◆相关产品
| 产品编号 | 产品名称 | 包装 |
| 01-0005 | NutriStem XF/FF Culture Medium (500 mL) NutriStem 无饲养层干细胞培养基 |
500 mL |
|
01-0005-100 |
NutriStem XF/FF Culture Medium (100 mL) NutriStem 无饲养层干细胞培养基 |
100 mL |
| 产品编号 | 产品名称 | 产品规格 | 产品等级 | 产品价格 |
| 00-0076 | StemRNA™-NM Reprogramming Kit StemgentRNA™-NM重编程试剂盒 |
1 kit | - | - |



